PREMIER ISO 9001:2008 CERTIFIED DENTAL CENTRE
CHEEMA DENTAL IMPLANT CENTRE
213 MODEL TOWN
Opp. Lane Sanjay Krate School
JALANDHAR, PUNJAB 144003
India
ph: 919814603002
alt: 911814623002
info



BEFORE
AFTER
BEFORE
AFTER
BEFORE
AFTER
BEFORE
AFTER
BEFORE
AFTER
BEFORE
AFTER
BEFORE DENTAL BRIDGE
AFTER DENTAL BRIDGE
BEFORE DENTAL BRIDGE
AFTER DENTAL BRIDGE
BEFORE DENTAL BRIDGE
AFTER DENTAL BRIDGE

BEFORE TEETH WHITENING

AFTER TEETH WHITENIG

BEFORE TEETH WHITENING

AFTER TEETH WHITENING

BEFORE DENTAL VENEER
AFTER DENTAL VENEER
BEFORE DENTAL VENEER
AFTER DENTAL VENEER
CARIOUS TEETH
RESTORED WITH AESTHETIC FILLINGS
CARIOUS TEETH
RSTORED WITH AESTHETIC FILLINGS
**********************************************************************************
HOLLYWOOD SMILES
patient aged 52 with yellow , broken, uneven & missing teeth asked for permanent solution.

Before
ore
Patient aged 31 years walked in and asked for filling gaps in teeth ,replacing missing tooth & permanent teeth whitening.

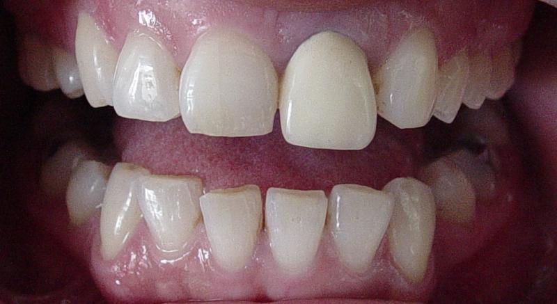
BEFORE

AFTER

BEFORE

AFTER

BEFORE

AFTER

BEFORE SMILE

AFTER SMILE
********************************************************** PATIENT AGED 28 YEARS WITH IRREGULAR TEETH DONE HOLLYWOOD SMILE DESIGNING AND PERMANENT WHITENING

*********************************************************************************
PATIENT AGED 52 YEARS CHIEF COMPLAINT IRREGULAR ,YELLOW TEETH
DONE HOLLYWOOD SMILE DESIGNING AND PERMANENT TEETH WHITENING

BEFORE
AFTER

BEFORE SMILE
AFTER SMILE
BEFORE
AFTER

These pictures are of Dr Cheema's actual patients. Any
copying is strictly prohibited for whatsoever reasons.
All rights reserved.
CHEEMA DENTAL IMPLANT CENTRE
& MULTI SPECIALITY DENTAL CLINIC
LINKS:-
CHEEMA DENTAL IMPLANT CENTRE
213 MODEL TOWN
Opp. Lane Sanjay Krate School
JALANDHAR, PUNJAB 144003
India
ph: 919814603002
alt: 911814623002
info